BEAUTYBOSS
TEETH WHITENING
Let us brighten your smile! BeautyBoss delivers the highest quality teeth whitening.
Bethesda MD
Book Now
Premier Laser Teeth Whitening Bethesda


Vegan
Our whitening gel is an organic, plant and mineral based product strong enough to deliver amazing results!

Minimal Sensitivity
Scientific research shows the active ingredients in our gel are effective and safe, with little to no sensitivity.

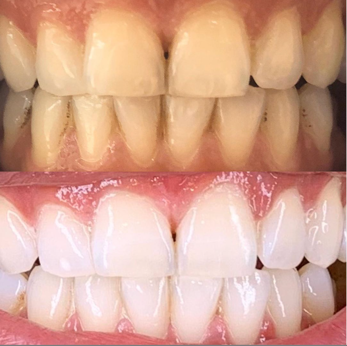
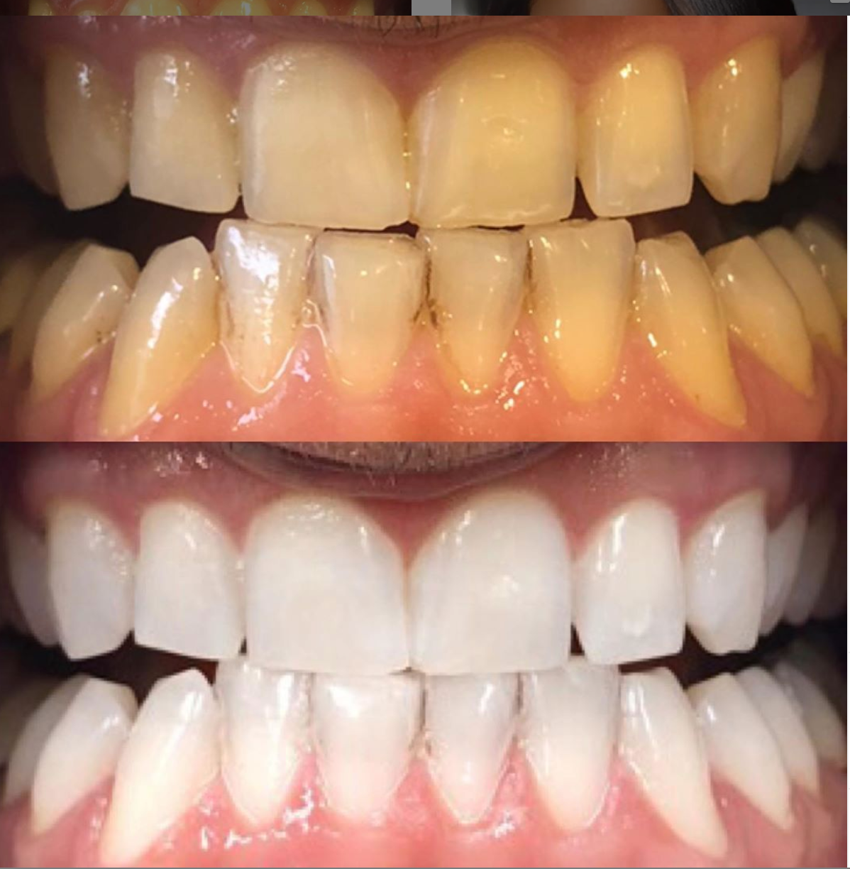
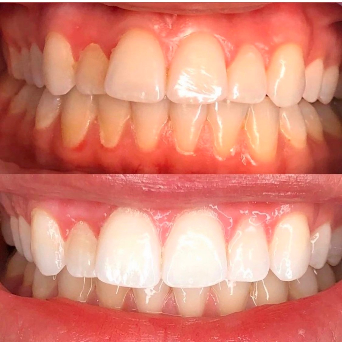
5-8 Shades
Individual results will vary, but we see an average improvement of 5 to 8 shades lighter during your visit.
Couples Teeth Whitening
200$ OFF


Is It Safe
Yes, our gel does not change or damage the structure of the teeth; it merely lifts and removes the stains, making your teeth whiter. Plus, our equipment is FDA compliant and has been used throughout the dental and cosmetic industry for years.

Will It Whiten Dental Work
Yes, our teeth whitening will remove staining from existing dental work and take it back to the original color. We cannot whiten them beyond the original color of the material used at the time of placement.

How White will They Get
Everyone's teeth are different and will have a natural stopping point. Individual results will depend on your current tooth shade and composition of teeth, but we see an average improvement of 5 to 8 shades during a client's visit.

How Long Does It Take
The best part about our service is that this is all done in ONE 60-minute appointment! You undergo three 20-minute sessions, and possibly a fourth if your teeth need a little extra love. You'll walk out with your brightest smile after one appointment.

Does It Hurt
Most clients experience no sensitivity because of our all natural product. A very small percentage may feel some sensitivity, but it is short term and gone within 24-48 hours. If you are at all concerned, we offer a complementary desensitizing treatment to help.

Is Your Gel Organic
Our whitening gel is an organic, plant and mineral based product strong enough to deliver amazing results!

1 Hour Teeth Whitening
Using Organic gels and cold blue light LED.
• No downtime
• Treatment Duration: 1 Hour

1 Year Touch Up
For Returning clients who would like to maintain their white smiles.
• No downtime
• Treatment Duration: 1 Hour

6 Month Touch Up
For returning Clients 6 month whitening maintenance.
• No downtime
• Treatment Duration: 30 Minute

Couples Teeth Whitening
Sit Side Side By side and whiten your teeth with a friend or Loved one ! 10% OFF
• No downtime
• Treatment Duration: 1 hr 30 Minute
Want to Learn More ?
We offer Free Consultation
Get Our Expert advice!
Get In Touch for your appointment
Free consultation to go over your treatment and answer all your doubts